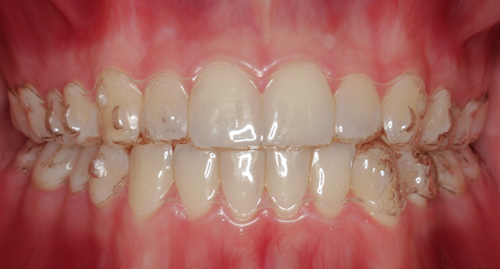
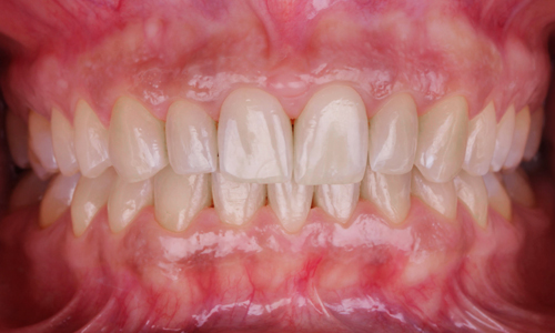
Ortodoncia
Es posible corregir la posición de los dientes y la alteración de los maxilares con diferentes técnicas de Ortodoncia:
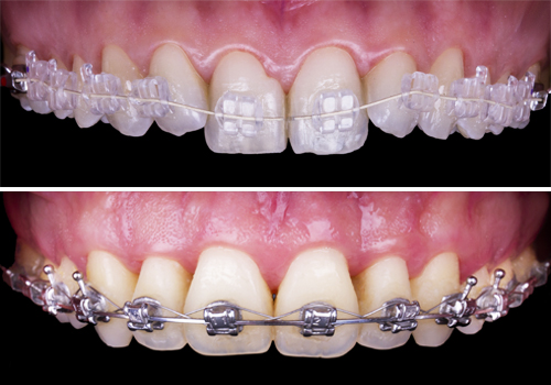
Ortodoncia invisible
Consiste en el uso de alineadores transparentes que se quitan y se ponen, es muy estética y te permite realizar una higiene perfecta durante el tratamiento. Con el sistema Invisalign® se realiza una planificación virtual en 3D para su fabricación, personalizada e individualizada.
Ortodoncia fija
puede ser con brackets metálicos o brackets estéticos de zafiro. Sus funciones, objetivos, procedimiento y resultados son similares. ¡Elige si quieres que se te vean más o menos!
Ortodoncia lingual
De esta manera la Ortodoncia va por la cara interna de los dientes. Este tipo de tratamiento es personalizado y fabricado para cada paciente según las necesidades y los objetivos que se planteen desde un inicio.
Ortodoncia interceptiva
Suele indicarse para pacientes jóvenes, en donde es posible obtener el espacio necesario para todos los dientes, pero sobretodo nos concentramos en favorecer el crecimiento, la forma y posición de los maxilares.
