Estéticas Dentales
En Kane Clínica Dental utilizamos diferentes técnicas para llegar a los resultados deseados, como carillas cerámicas, carillas de composite, coronas e incrustaciones libres de metal.
Blanqueamiento dental
Mejoramos el color de los dientes con diferentes técnicas para obteber sonrisas resplandescientes y juveniles. Este método consiste en la colocación de agentes blanqueadores tanto en la consulta como el uso de férulas en casa.
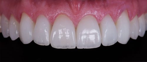
Carillas dentales
Realizamos tratamientos de alta estética mediante el uso de laminados cerámicos muy finos con los cuales podemos cambiar el color, tamaño y forma de los dientes de forma que luzcan naturales y perfectos. Cada caso es estudiado de manera individual devolviendo la armonía a la sonrisa.
Implantes Dentales
Realizamos tratamientos de alta estética mediante el uso de laminados cerámicos muy finos con los cuales podemos cambiar el color, tamaño y forma de los dientes de forma que luzcan naturales y perfectos. Cada caso es estudiado de manera individual devolviendo la armonía a la sonrisa.
Implantes Dentales
Realizamos tratamientos de alta estética mediante el uso de laminados cerámicos muy finos con los cuales podemos cambiar el color, tamaño y forma de los dientes de forma que luzcan naturales y perfectos. Cada caso es estudiado de manera individual devolviendo la armonía a la sonrisa.
Prótesis Dentales
Rehabilitamos tu dentadura y recuperamos su función y estética con tratamientos protésicos específicos para cada caso, como coronas, incrustaciones, puentes fijos, prótesis removibles o prótesis fija sobre implantes.
Prótesis Dentales
Rehabilitamos tu dentadura y recuperamos su función y estética con tratamientos protésicos específicos para cada caso, como coronas, incrustaciones, puentes fijos, prótesis removibles o prótesis fija sobre implantes.
Endodoncia
Es la especialidad que se dedica a curar afecciones del nervio del diente. Es la única opción cuando la lesión den diente ya está muy avanzada y consiste en retirar el nervio y sellar su conducto para preservar la pieza dentaria.
Endodoncia
Es la especialidad que se dedica a curar afecciones del nervio del diente. Es la única opción cuando la lesión den diente ya está muy avanzada y consiste en retirar el nervio y sellar su conducto para preservar la pieza dentaria.
Tratamientos dentales
Contamos con profesionales especializados en cada una de las áreas de la ordontología para ayudar a recuperar la salud y la funcionalidad de tu dentadura. Así lograremos conseguir una sonrisa estética y armoniosa que podrás lucir sin miedos.
